検査について
実際に矯正治療を始める前には、精密な検査が必要になります。
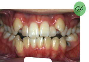
当院の精密検査では、診断・治療方針を決定するために必要な10種類の資料をとらせていただきます。







舌圧測定試験とは
舌圧測定試験とは


目的
舌圧測定器は、舌の運動機能を最大舌圧として測定する機器です。測定値は摂食・嚥下機能に関する口腔機能検査のスクリーニングの指標となります。また摂食・嚥下機能だけではなく、歯並びにおいても舌圧が関与しています。
検査方法
口腔内にバルーンを入れ、舌を挙上することによって舌と上顎の間でバルーンを最大の力で押しつぶします。その時の圧力を最大舌圧として測定します。
*最大舌圧が、30kPa以下は嚥下障害の予備軍とされています。舌を挙上する力が弱いと、舌が低位で前方に位置し、舌で前歯を押してしまい、開咬(奥歯で咬んでも前歯が閉じない状態)と呼ばれる症状を引き起こす原因になると考えられています。


舌圧測定器は、舌の運動機能を最大舌圧として測定する機器です。測定値は摂食・嚥下機能に関する口腔機能検査のスクリーニングの指標となります。また摂食・嚥下機能だけではなく、歯並びにおいても舌圧が関与しています。
検査方法
口腔内にバルーンを入れ、舌を挙上することによって舌と上顎の間でバルーンを最大の力で押しつぶします。その時の圧力を最大舌圧として測定します。
*最大舌圧が、30kPa以下は嚥下障害の予備軍とされています。舌を挙上する力が弱いと、舌が低位で前方に位置し、舌で前歯を押してしまい、開咬(奥歯で咬んでも前歯が閉じない状態)と呼ばれる症状を引き起こす原因になると考えられています。
口唇閉鎖力測定試験とは
口唇閉鎖力測定試験とは


目的
口唇閉鎖力測定器(ビューティーヘルスチェッカー)により、口唇閉鎖力を測定します。口唇閉鎖力が弱いと、歯を外側から押さえる力がなかったり、口呼吸(口を開けて息をする)や舌癖(正しくない口唇や舌の安静位)の原因になり歯並びに大きな影響を及ぼします。
検査方法
①唇で緑のセンサー部分をはさみます。
②唇に力を入れ、約10秒間センサー部分を強くはさみます。
*最大値が男性の場合5.5N以上、女性の場合4.5N以上であれば正常です。


口唇閉鎖力測定器(ビューティーヘルスチェッカー)により、口唇閉鎖力を測定します。口唇閉鎖力が弱いと、歯を外側から押さえる力がなかったり、口呼吸(口を開けて息をする)や舌癖(正しくない口唇や舌の安静位)の原因になり歯並びに大きな影響を及ぼします。
検査方法
①唇で緑のセンサー部分をはさみます。
②唇に力を入れ、約10秒間センサー部分を強くはさみます。
*最大値が男性の場合5.5N以上、女性の場合4.5N以上であれば正常です。
オーラルディアドコキネシスとは
オーラルディアドコキネシスとは



オーラルディアドコキネシスとは、舌や口唇、軟口蓋などの運動の速度や巧緻性(巧みさ)を発音を用いて評価するものです。「パ」「タ」「カ」という決まった音をなるべく早く、一定時間内に繰り返し発音し、その数やリズムトルの良さを評価します。
オーラルディアドコキネシスは主に高齢者の口腔機能向上の指標とする検査に使われていますが、当院では口腔周囲筋の機能検査の指標として、オーラルディアドコキネシスを取り入れています。
「パ」「タ」「カ」の音の意味
パ:口唇を閉じたり開けたりする能力を評価する
タ:舌の前方部分を挙上させる能力を評価する
カ:舌の後方部分を挙上させる能力を評価する
検査方法
当院iPod touchに専用のアプリが入っていますので、指示に従って「パ」「タ」「カ」の音を10秒間ずつ発音します。そうすると検査結果(1秒間に発音した回数)が出てきます。最低でも1秒間に4.0回以上の正常発音が必要です。高齢ではない健常者の場合は、6.0回以上を目安としています。
【パタカウンター】
iPhoneで手軽にオーラルディアドコキネシスの検査をするためのアプリケーションです。



オーラルディアドコキネシスとは、舌や口唇、軟口蓋などの運動の速度や巧緻性(巧みさ)を発音を用いて評価するものです。「パ」「タ」「カ」という決まった音をなるべく早く、一定時間内に繰り返し発音し、その数やリズムトルの良さを評価します。
オーラルディアドコキネシスは主に高齢者の口腔機能向上の指標とする検査に使われていますが、当院では口腔周囲筋の機能検査の指標として、オーラルディアドコキネシスを取り入れています。
「パ」「タ」「カ」の音の意味
パ:口唇を閉じたり開けたりする能力を評価する
タ:舌の前方部分を挙上させる能力を評価する
カ:舌の後方部分を挙上させる能力を評価する
検査方法
当院iPod touchに専用のアプリが入っていますので、指示に従って「パ」「タ」「カ」の音を10秒間ずつ発音します。そうすると検査結果(1秒間に発音した回数)が出てきます。最低でも1秒間に4.0回以上の正常発音が必要です。高齢ではない健常者の場合は、6.0回以上を目安としています。